
Prenez rendez-vous immediatement à la Clinique Dentaire de Meyrin !
Nos dentistes experts sauront vous prendre en charge pour tout type de traitement dentaire. Contactez nous pour un rendez-vous rapide !
Un contrôle dentaire annuel et un détartrage semestriel sont les clés pour le maintien d'une bonne santé bucco-dentaire.
Si vous souffrez de douleurs dentaires, n'attendez plus ! contactez la Clinique Dentaire de Meyrin de suite pour un diagnostic, un plan de traitement et un devis détaillé avant de commencer les soins dentaires.
Nous sommes transparents avec les tarifs des prestations des soins dentaires et la Clinique Dentaire de Meyrin présente l'un des tarifs les plus concurrentiels du Canton.
Le rôle d'une hygiéniste dentaire ne s'arrête pas uniquement au détartrage, mais consiste également à contrôler les caries, s'il existe des problèmes de gencive, ou tout autre problème de parodonte ! Les rendez-vous périodiques sont alors essentiels pour le maintien d'une bonne santé buccale.
Notre équipe soignante, composée de dentistes, orthodontiste, hygiéniste dentaire et assistantes dentaires, ont les compétences d'accompagner tout type de patients : enfants, adultes, personnes âgées, et personnes en situation d'handicap physique ou mental.
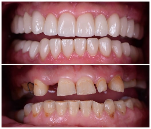
Les dentistes de la Clinique Dentaire de Meyrin maîtrisent tous les domaines de la dentisterie : traitement des caries, traitement de racine (endodontie), la parodontologie, la chirurgie orale, la confection de prothèses amovibles ou fixes, l'implantologie ; qu'elle concerne la pose d'un implant unique (suivi de la fixation d'une couronne) ou de plusieurs implants en bouche, l'orthodontie avec tout type d'appareils dentaires à la pointe de la technologie et de la science, les traitements esthétiques notamment le blanchiment dentaire, l'alignement des dents ou encore la réalisation de facettes dentaires.
En plus de leur savoir-faire médical, les dentistes de la Clinique Dentaire de Meyrin exécutent les soins dentaires avec des techniques sans douleurs, et restent toujours à l'écoute du patient, et ceci pas seulement durant le traitement !
Nos dentistes sont localisés dans la commune de Meyrin mais sont aptes à accueillir tous les patients de la région de Genève ; La Clinique Dentaire de Meyrin est associée à la Clinique Dentaire d'Onex et vous offre donc un maximum de moyen d'être près de chez vous ! N'hésitez pas à contacter nos Cliniques, notre équipe fera son possible pour vous fixer un rendez-vous au plus vite.